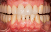
Case 1
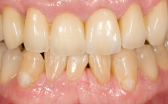
Case 2
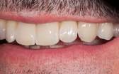
Case 3
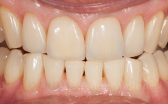
Case 4
Case 5
Case 6
Case 7
Case 8
Case 9

Case 10
Case 11
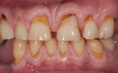
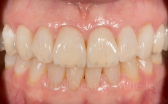
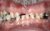
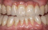
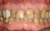
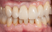
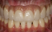
This 62 years-young female was tired of being older in appearance than in her mind. Not only was she unable to chew and enjoy a meal with friends, but she felt embarrassed by removing her denture at night, which limited her romantic relationship. With the help of a board certified periodontist and prosthodontist, she entirely rediscovered and regained her youth and attractive smile. Treatment consists of a total of 16 implants using Precision Guided Surgery ( NobelGuide™ ). The mandibular (lower) arch was restored with All-on-4® protocol. The course of treatment eight months.
All Ceramics by Yasuhiko Kawabe, and Mr. Masato Yamada.
Case 12
Case 13
Case 14
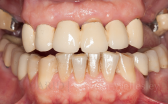
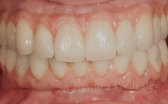
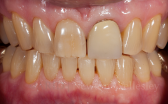
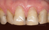
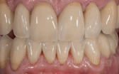
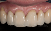
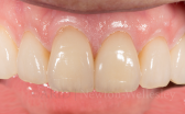
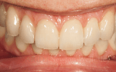
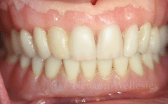
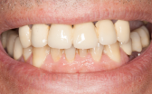
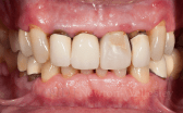
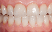
24 years-young female; When clinical procedures are done with minimally invasive techniques in mind and a master ceramist executes the technique of layering colors properly, porcelain veneers can often be mistaken for “perfect” natural teeth, and for many, many years to come.

This 62 years-young female was tired of being older in appearance than in her mind. Not only was she unable to chew and enjoy a meal with friends, but she felt embarrassed by removing her denture at night, which limited her romantic relationship. With the help of a board certified periodontist and prosthodontist, she entirely rediscovered and regained her youth and attractive smile. Treatment consists of a total of 16 implants using Precision Guided Surgery ( NobelGuide™ ). The mandibular (lower) arch was restored with All-on-4® protocol. The course of treatment eight months.
All Ceramics by Yasuhiko Kawabe, and Mr. Masato Yamada.
24 years-young female; When clinical procedures are done with minimally invasive techniques in mind and a master ceramist executes the technique of layering colors properly, porcelain veneers can often be mistaken for “perfect” natural teeth, and for many, many years to come.
Our Friendly Team Looks Forward to Meeting You
| Monday | By appointment only |
| Tuesday | By appointment only |
| Wednesday | By appointment only |
| Thursday | By appointment only |
| Friday | By appointment only |
| Saturday | By appointment only |